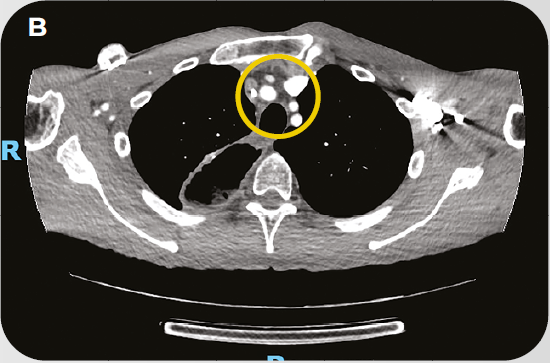
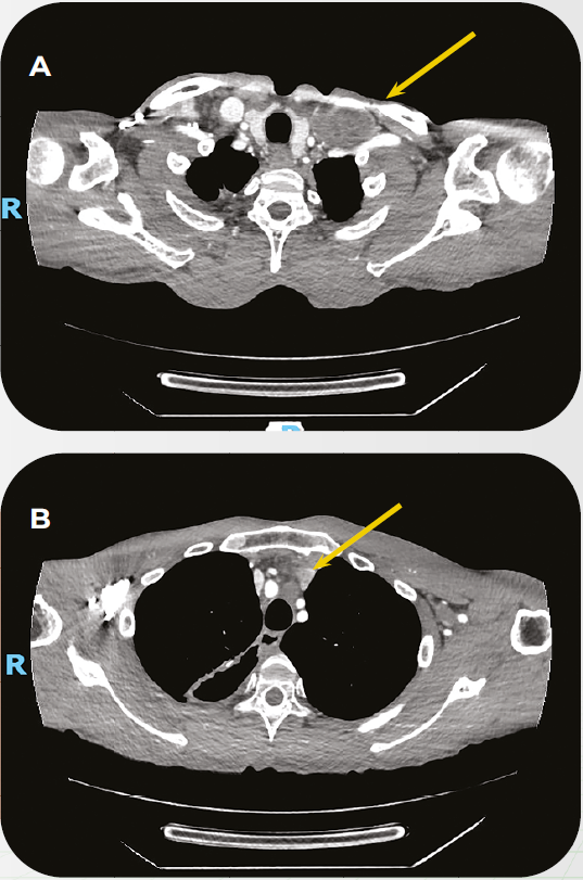
Caso Clínico: Tratamento de paciente com Câncer de Esôfago avançado com PPC>10 em 1L
O caso clínico compartilhado peo oncologista Dr. Rodrigo Guedes, constam detalhes sobre o tratamento de paciente com Câncer de Esôfago avançado com PPC>10 em primeira linha.