Dr. Marcos Aurélio Fonseca Magalhães Filho (CRM-PB: 9418)
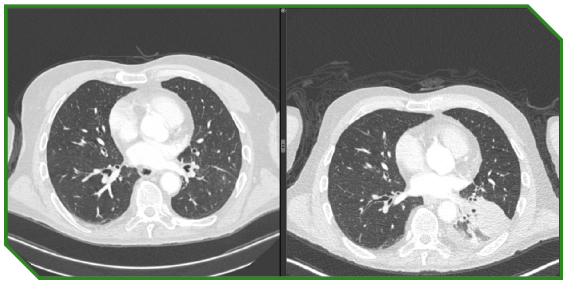
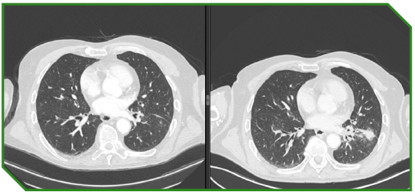
Paciente masculino de 78 anos com carcinoma espinocelular de laringe, tratado inicialmente com abordagem definitiva local, evoluindo posteriormente com recidiva local e progressão metastática pulmonar. Ao longo do curso da doença, foi submetido a múltiplas linhas terapêuticas, incluindo cirurgia, radioquimioterapia, quimioterapia sistêmica e imunoterapia isolada e em combinação, refletindo a complexidade do manejo longitudinal do R/M HNSCC.