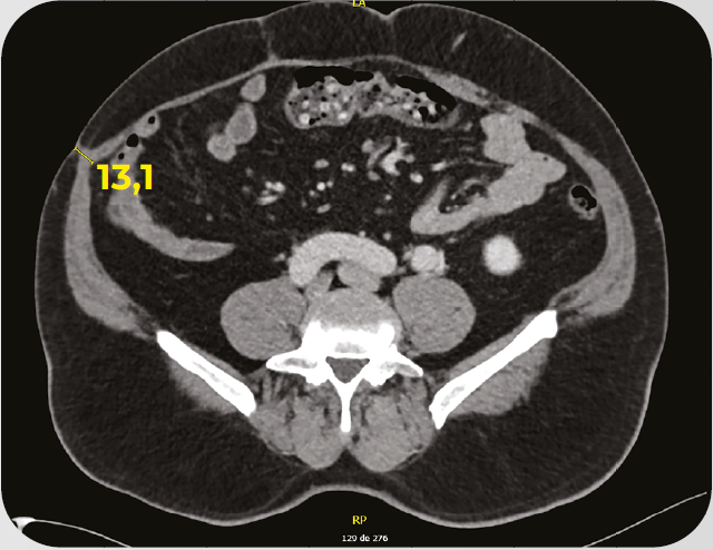
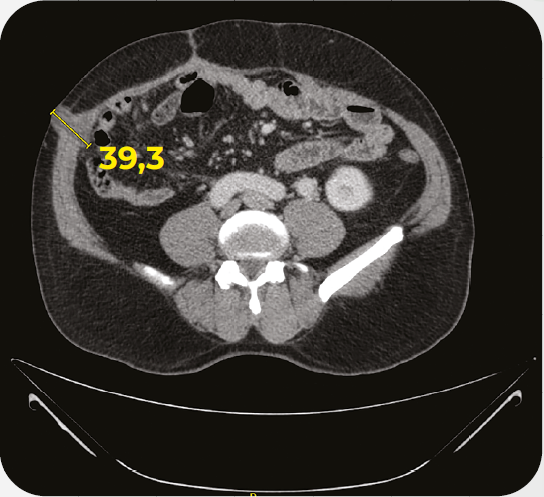
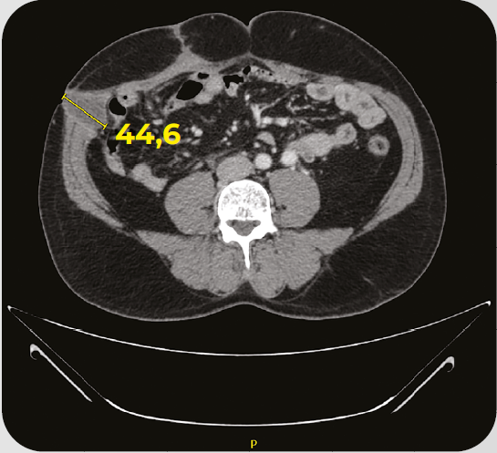
Caso clínico: paciente com CRC MSI-H O Caso clínico em questão, traz detalhes sobre o tratamento em 1L de pacientes com câncer colorretal metastático com deficiência de enzimas do reparo (dMMR)/alto nível de instabilidade de microssatélites (MSI-H).